Loading...
뉴스헌터스

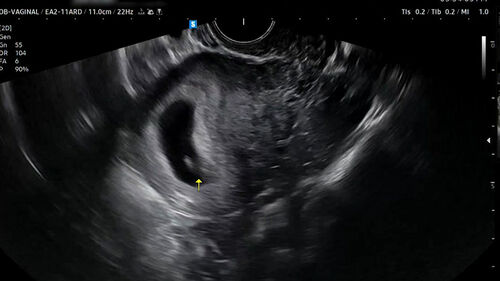
[사건X파일] 멀쩡한 태아 "긁어내라" 오진…아기 잃을 뻔한 부부

[사건X파일] 멀쩡한 태아 "긁어내라" 오진…아기 잃을 뻔한 부부
[뉴스헌터스]

인터뷰를 인용보도할 때는 프로그램명 'SBS <뉴스헌터스>'를 정확히 밝혀주시기 바랍니다. 저작권은 SBS에 있습니다.

■ 방송 : SBS <뉴스헌터스> 월~금 (18:50~19:50)
■ 진행 : 김종원, 윤태진 앵커
■ 대담 : 이지윤 변호사, 이경민 변호사
--------------------------------------------

※ 자세한 내용은 동영상으로 확인하실 수 있습니다.

(SBS 디지털뉴스부)
Copyright Ⓒ SBS. All rights reserved.
무단 전재, 재배포 및 AI학습 이용 금지

댓글

방금 달린 댓글
댓글 작성
첫 번째 댓글을 남겨주세요.
0 / 300
  • 최신순
  • 공감순
  • 비공감순
매너봇 이미지
매너봇이 작동 중입니다.

댓글 ∙ 답글 수 0
  • 최신순
  • 공감순
  • 비공감순
매너봇 이미지
매너봇이 작동 중입니다.
>